Address
Room 2301C, 23rd Floor, Building 1, jinghu Commercial center, No, 34, Liangzhuang Street, Eri District, Zhengzhou City, Henan province
Work Hours
Monday to Friday: 7AM - 7PM
Weekend: 10AM - 5PM
CAS:78338-22-4
Place of Origin: China
Type:sulfur dyes
Usage:Leather Dyestuffs, Paint Dyestuffs, Paper Dyestuffs, Plastic Dyestuffs, Textile Dyestuffs
MF:C14H13N3O2S
Other Names:thionine acetate
Appearance:dark green powder or needle-like crystals
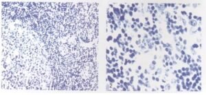
Thionium staining solution is a basic staining agent based on thionium dye, used for staining nuclear DNA in human tissue and cell samples. It is widely used in cellular and histological analysis in biology, medicine, and pathology. Its core function is to achieve high-contrast staining by specifically binding to acidic components in the cell nucleus and certain cellular structures.
Product Uses:
1. For staining nuclear DNA in human tissue and cell samples.
2. Can be used to visualize nuclear structure, especially in paraffin sections.
3. Suitable for contrast staining of the nucleus and cytoplasm in cytological examinations.
4. Can be used in combination with azurite, hematoxylin, etc., in special staining protocols.
Importance of Thionium Staining:
Cellular DNA content reflects cell growth and differentiation status, and measuring changes in its content is crucial for determining the nature and prognosis of tumors. Based on the structural characteristics of the cell nucleus, Tian Yuwang’s team used thionium to stain nuclear DNA, achieving good staining results. Practical application has proven that thionium staining provides clearer and more reliable results than the traditional Feulgen staining method, with high specificity, a clean background, convenient staining solution preparation, greater stability of the staining solution, a simple staining method, short staining time, and no fading of sections. Therefore, it provides a reliable histochemical staining technique for imaging and determining the nuclear DNA content of tumor cells.

Product Features:
1. High Sensitivity and Specificity: Thionium has a strong affinity for nucleic acids and acidic proteins, resulting in deep blue to purplish-black staining of cell nuclei with a clean background and significant contrast.
2. High Stability: The staining solution is optimized with a buffer system, allowing for long-term storage at room temperature away from light, and remains stable after opening.
3. Simple Operation: The staining process is short, requiring no complex differentiation steps, making it suitable for high-throughput experiments.
4. Versatile Application: It can be used alone or in combination with other staining agents to meet complex staining needs.
Product Advantages:
1. High affinity for nucleic acid components such as DNA/RNA, resulting in clear staining and distinct layers.
2. Staining is resistant to fading, facilitating long-term preservation of slides.
3. Suitable for staining various tissue types, including brain tissue, liver, and kidneys.
4. The company’s quality system is controlled according to domestic GMP and ISO13485 standards. Production management is strictly implemented in accordance with these standards, with standardized production processes, controllable quality control, and production operations conducted in a Class 100,000 cleanroom, effectively controlling the production process.
Product Usage Instructions:
1. Dewax paraffin sections to water using standard procedures.
2. Immerse sections in thionine stain for 5-15 minutes (at room temperature, protected from light).
3. Rinse with distilled water for 1-2 minutes.
4. Mount with neutral resin and allow to dry before microscopic examination.
Product Usage Precautions:
1. Do not use if the product packaging is damaged.
2. For in vitro diagnostic use only and for professional use only.
3. Wear appropriate personal protective equipment to avoid contact with eyes and skin.
